Fallbeispiel 5: Bildgebende Verfahren
Liste der Fälle
-
Startseite
Frau Bettina G., 25 jährig, kommt beunruhigt zu Ihnen. Ihr Freund hat einen harten Knoten in ihrer rechten Brust gespürt, der sich gut hin und her schieben lässt.
|
|
Was für bildgebende Verfahren verordnen Sie?
|
|
|
|
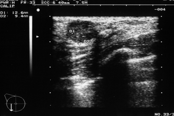
Mammasonografie bei der Patientin
|
In der Mammasonografie zeigt sich eine echoarme, homogene, scharf begrenzte Raumforderung in der rechten Mamma bei 9 Uhr. Sie hat eine Grösse von 1x2cm. Man sieht keinen pathologischen Schallschatten und es ist eindeutig keine Zyste.
|
|
|
|
Abdomensonografie bei der Patientin
|
Diese Untersuchung ist zum jetzigen Zeitpunkt nicht angezeigt.
|
|
|
|
Vaginalsonografie bei der Patientin
|
Diese Untersuchung ist zum jetzigen Zeitpunkt nicht angezeigt.
|
|
|
|
Mammografie bei der Patientin
|
Bei einer unter 35 jährigen Frau ist eine Mammografie sehr schwierig zu beurteilen wegen der Dichte des Brustdrüsengewebes. Bei über 35 jährigen Patientinnen ist eine Mammografie durchaus eine weitere hilfreiche Untersuchungsmethode. Sie hat aber eine geringere Spezifität als der Ultraschall, da die Differenzialdiagnose Cyste / Fibroadenom meistens nur schwer möglich ist. Beide Veränderungen imponieren in der Mammografie als gut begrenzte, runde Transparenzminderungen.
|
|
|
|
|