HNO Teil 2

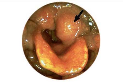
Laryngozele . ........ Zum Kapitel